Eingabe löschen
Zum Inhalt

Hauptnavigation

CAI-Forscher entwickeln neuartiges KI-Modell für die Verarbeitung von medizinischen Bildern in 3D

Eine neue Veröffentlichung der Intelligent Vision Systems Gruppe (IVS) am CAI stellt eine KI-Methode zur Reduzierung der Strahlendosis für Patienten in der Krebstherapie vor.

Die Cone-beam Computertomographie (CBCT) wird häufig in der klinischen Strahlentherapie zur Patientenpositionierung und Tumorlokalisierung eingesetzt. Der Ansatz, die zusätzliche Strahlendosis für die Patienten aufgrund des Bildgebungsprozesses mittels Sparse-View-Sampling zu reduzieren, macht jedoch herkömmliche Rekonstruktionsmethoden unwirksam. 

In einer kürzlich im Journal IEEE Access veröffentlichten Publikation stellte das Team um Daniel Barco, Dr. Marc Stadelmann und Dr. Frank-Peter Schilling von der Gruppe Intelligent Vision Systems (IVS) am CAI MInDI-3D vor, ein neuartiges iteratives diffusionsbasiertes Modell, das medizinische 3D Bilder verarbeiten kann, und wandte es auf CBCT-Bilder mit spärlicher Ansicht an.

Die Bewältigung der Herausforderung der sparse-view CBCT-Rekonstruktion war das Ziel des von Innosuisse finanzierten internationalen Forschungsprojekts AC3T, an dem zwei Institute der ZHAW, das CAI und das Institut für Angewandte Mathematik und Physik (IAMP), Varian Medical Systems, Teil von Siemens Healthineers und Weltmarktführer für klinische Strahlentherapiegeräte, sowie Mitarbeiter der Yonsei-Universität sowie -Klinik in Seoul, Südkorea, beteiligt waren. 

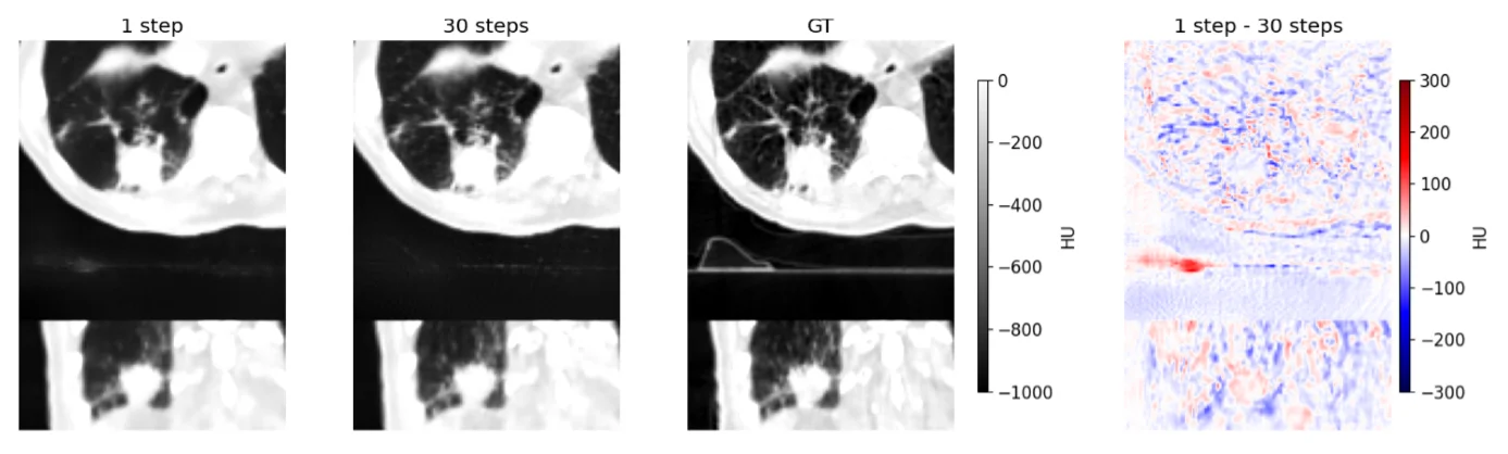
MInDI-3D kombiniert ein U-Net-basiertes Modell mit Attention-Mechanismen und verwendet einen iterativen Prozess, um die Qualität eines sparse-view CBCT signifikant zu verbessern. Im Gegensatz zu herkömmlichen Methoden kann mit MInDI-3D der sog. „perception-distortion trade-off“ explizit durch den Kompromiss gesteuert werden, was so selbst aus wenigen 2D Projektionen hochpräzise 3D-Rekonstruktionen ermöglicht. Für das Training des Modells wurde ein neuartiger groß angelegter Pseudo-CBCT-Datensatz mit mehr als 16.000 Scans erstellt und öffentlich zugänglich gemacht.

Die Performance des Modells wurde anhand quantitativer Metriken, task-basierter Evaluationen wie automatisierter Organsegmentierung, sowie einer qualitativen Überprüfung durch klinische Experten am Yonsei University Hospital in Südkorea umfassend bewertet. MInDI-3D zeigte eine hervorragende Leistung bei der Entfernung von Artefakten und der Wiederherstellung der Bildqualität. Darüber hinaus liess sich MInDI-3D erfolgreich auf verschiedene Scanner-Modelle übertragen, und die klinische Bewertung ergab positive Ergebnisse.

MInDI-3D erfüllt erfolgreich die wichtige klinische Anforderung, die Strahlendosis zu senken, ohne die Bildqualität zu beeinträchtigen. Die überzeugenden quantitativen Ergebnisse, die robuste Generalisierbarkeit und die Bewertung durch klinische Experten unterstreichen das Potenzial des Modells als praktisches Werkzeug für klinische Arbeitsabläufe, insbesondere in der adaptiven Strahlentherapie.